
Dental Bonding For Aging Gracefully: Enhancing Senior Oral Health
Aging gracefully often goes hand in hand with maintaining good health and caring for our physical well-being. While many people focus on aspects like diet, exercise, and skincare, it’s essential to pay attention to the importance of oral health, especially for seniors. Dental issues can significantly impact a senior’s quality of life, and one valuable solution to address these concerns is dental bonding. In this blog, we will explore how dental bonding can enhance senior oral health and contribute to aging gracefully.
What is Dental Bonding?
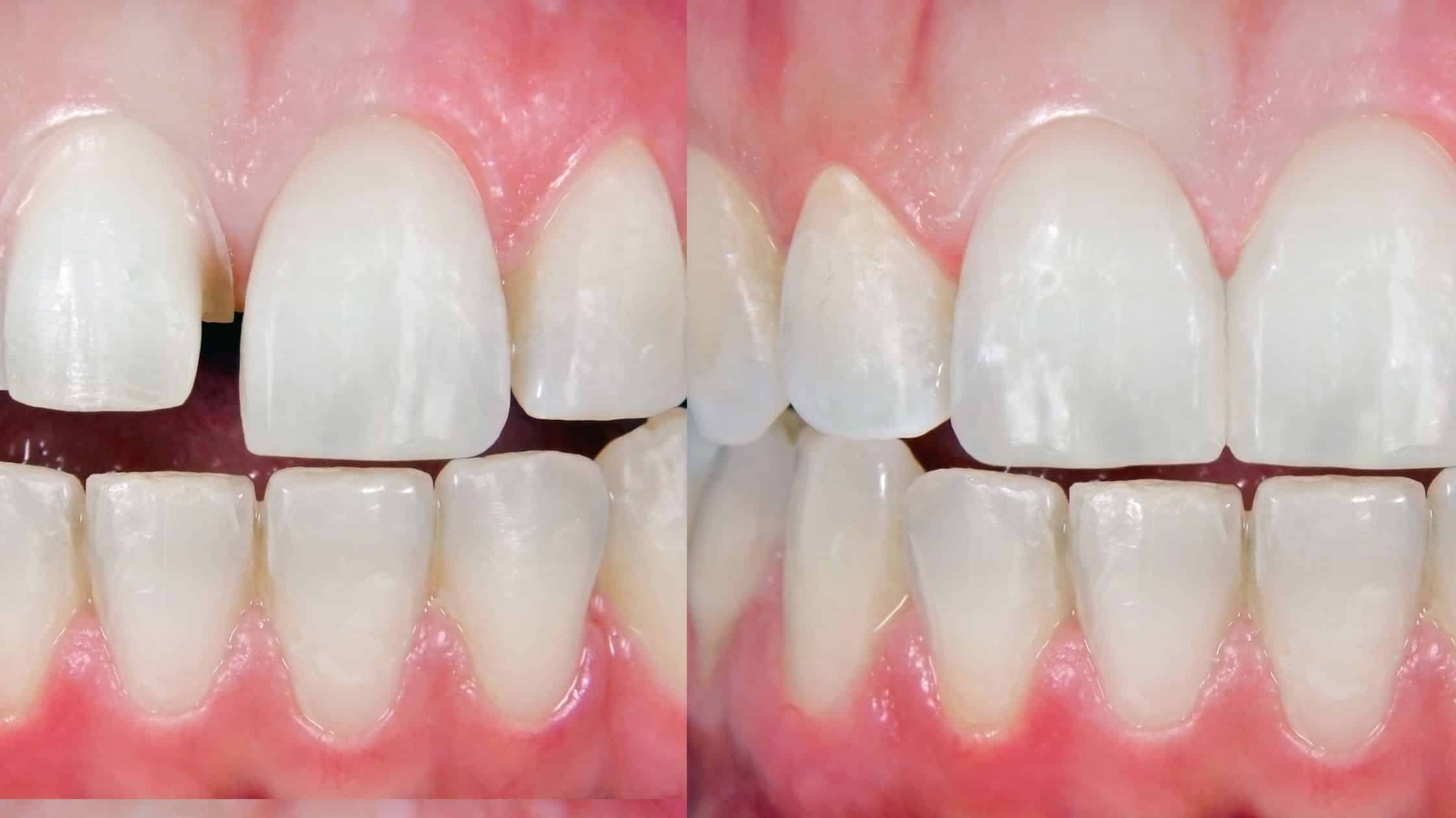
Before delving into the specific benefits for seniors, it’s crucial to understand what dental bonding entails. Dental bonding is a cosmetic dentistry procedure in which a tooth-colored resin material is applied to a tooth and then hardened with a special light. This procedure can repair chipped, cracked, or discolored teeth, close gaps between teeth, and even reshape teeth for a more aesthetically pleasing appearance. The resin material used in dental bonding is durable and can be color-matched to your natural teeth for a seamless, natural look.
The Benefits of Dental Bonding for Seniors
1. Enhancing Aesthetics: As we age, our teeth can become discolored and develop minor imperfections. Dental bonding can help seniors achieve a more youthful and aesthetically pleasing smile by covering up stains, discoloration, and minor cosmetic flaws. This boost in self-confidence can have a positive impact on overall well-being.
2. Restoring Functionality: Many seniors experience tooth wear and damage over the years, affecting their ability to eat comfortably and speak clearly. Dental bonding can repair chipped or cracked teeth, restoring functionality and enabling seniors to enjoy their favorite foods without discomfort.
3. Closing Gaps: Seniors who have gaps between their teeth may be more prone to food particles getting stuck, which can lead to gum issues and cavities. Dental bonding can close these gaps, making it easier to maintain good oral hygiene and reduce the risk of dental problems.
4. Protecting Sensitive Teeth: Aging can lead to increased tooth sensitivity. Dental bonding can provide an extra layer of protection for sensitive teeth, reducing discomfort when consuming hot or cold foods and drinks.
5. Preventing Further Damage: Seniors often have weakened enamel and are more susceptible to dental issues like cavities and tooth decay. Dental bonding can serve as a barrier, preventing further damage and protecting the tooth from the effects of aging.
6. Customized Solutions: Dental bonding is a highly customizable procedure. Dentist in Coraopolis PA can tailor the treatment to address each senior’s unique dental needs and desires, ensuring a personalized solution for enhancing oral health.
The Procedure
The dental bonding procedure is both swift and virtually pain-free. It typically does not require anesthesia unless it is being used to treat a cavity. The steps involved include:
1. Preparation: The dentist will first prepare the tooth by roughening the surface and applying a conditioning liquid to help the bonding material adhere.
2. Bonding: The tooth-colored resin material is applied to the tooth and molded to the desired shape and size.
3. Curing: A special light hardens the resin material, bonding it securely to the tooth.
4. Final Touches: The dentist will make any necessary adjustments and polish the bonded tooth to match the surrounding teeth and achieve a natural appearance.
Maintenance and Longevity
Dental bonding is a long-lasting solution when properly cared for. Seniors must maintain good oral hygiene practices, including regular brushing and flossing, to ensure the longevity of the bonded teeth. Additionally, routine dental check-ups are essential to monitor the condition of the bonded teeth and address any issues that may arise over time.
With time, our oral health gains greater significance in contributing to our overall well-being. Dental bonding is a versatile and effective solution for seniors looking to enhance their oral health and maintain a beautiful smile. It offers aesthetic and functional benefits, allowing seniors to age gracefully with confidence and comfort. If you’re a senior seeking to improve your oral health and smile, consult with your dentist to explore the potential benefits of dental bonding and create a personalized plan that suits your unique needs and goals.


