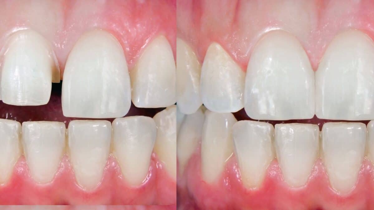
When to Get Dental Bonding?
A captivating smile is often considered the best accessory one can wear, but what if dental imperfections are holding you back? Enter dental bonding, a cosmetic dentistry marvel that can transform your smile seamlessly. In this blog, we’ll delve into the world of dental bonding, exploring when it’s the ideal solution to restore your teeth’s natural beauty.










